선천적 치아 이상이란?
보통 사람의 치아 개수는 유치 20개 / 영구치 28개 (사랑니 제외)로 구성되어 있는데, 이보다 치아 개수가 부족하면서 발생하는 문제들을 말합니다. '선천적'이 붙는 이유는 유전성이 높고, 성장시기부터 발생하는 문제이기 때문입니다. 주로 치아 결손과 유치 만기 잔존 현상이 나타납니다.
| 선천적 치아 결손
'결손'이라는 것은 사전적으로 '어느 부분이 없거나 잘못되어서 완전하지 않음'을 의미하며, 이것을 치의학에서는 치아 가장자리의 뼈가 없는 부분을 말하고 있습니다.
선천적으로 치아가 결손되어 있으면 치아가 없는 쪽으로 치아 배열이 쏠리게 되면서 비대칭이 생겨나게 되고, 치열이 고르지 않아 위아래 교합도 틀어집니다.
| 유치 만기 잔존
흔히 잔존 유치라고 얘기하는데, 유치가 빠져야 할 시기에 빠지지 않고 성인이 되어서도 구강에 그대로 남아있는 상태를 말합니다. 유치는 보통 6세~7세부터 빠지기 시작해서, 12세~13세가 되면 영구치로 모두 교체되지만, 선천적으로 영구치가 매복되어 올라오지 않거나 영구치가 아예 없는 경우에 유치가 남아있게 됩니다. 유치 만기 잔존이 남아있으면 영구치에 비해 치아가 약하기 때문에, 무의식적으로 한쪽으로만 저작을 하게 되는 경우가 있습니다. 이 기간이 지속되면 결국 부정교이나 치열이 틀어지는 문제가 됩니다.
문제점 1. 치아 맞물림이 좋지 않아 음식을 씹기가 힘들어 저작 능력이 떨어질 수 있습니다.
문제점 2. 발음이 부정확해지거나 심미적인 문제를 일으킵니다.
문제점 3. 치아가 없는 빈 공간으로 주위 치아들이 쓰러지게 되어 부정교합을 발생시킵니다.
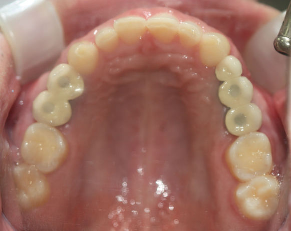
선천적 치아 결손 - 치료 전
선천적 치아 결손 - 치료 후
환자분들의 구강상태에 따라 달라지겠지만, 보편적으로 불필요한 치아를 제거 ▷ 임플란트 식립 ▷ 교정치료로 진행이 됩니다. 약한 유치나 잘 못 자리잡힌 치아를 제거하고 빈 공간의 치아는 임플란트로 대체해줍니다. 마지막으로 디지털 교정을 통해 틀어진 치아 배열을 맞춰, 저작에 문제가 없도록 해줍니다.







